- Προσωπικά Στοιχεία: Το όνομά σας, η διεύθυνσή σας, το τηλέφωνό σας και το email σας.
- Στόχος: Μια σύντομη δήλωση σχετικά με τον επαγγελματικό στόχο σας, δηλαδή τον τομέα εργασίας που επιθυμείτε να εξερευνήσετε.
- Εκπαίδευση: Περιγράφετε τις ακαδημαϊκές σας επιτυχίες, όπως πτυχία, μεταπτυχιακά, διδακτορικά, και άλλες εκπαιδευτικές επιτυχίες.
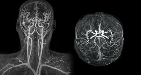
Ένα σύγχρονο και τεχνολογικό ιατρείο αγγειοχειρουργού θα ενσωματίζει πολλές σύγχρονες τεχνολογίες και πρακτικές προκειμένου να παρέχει υψηλής ποιότητας φροντίδα για προβλήματα που σχετίζονται με τον αγγειακό σύστημα. Ορισμένα χαρακτηριστικά που μπορεί να έχει ένα τέτοιο ιατρείο περιλαμβάνουν:
Αυτά τα χαρακτηριστικά συμβάλλουν στη δημιουργία ενός ιατρείου αγγειοχειρουργού που προσφέρει σύγχρονη, ασφαλή και αποτελεσματική φροντίδα για ασθενείς με προβλήματα αγγείων.