Διαγνωστικές εξετάσεις αγγείων άνω άκρου

Οι διαγνωστικές εξετάσεις αγγείων άνω άκρου είναι σημαντικές για την αξιολόγηση της λειτουργίας και της κατάστασης των αγγείων που τροφοδοτούν τα άνω άκρα. Ορισμένες από τις κύριες διαγνωστικές εξετάσεις περιλαμβάνουν:

Δοπλερογραφία Άνω Άκρου (Upper Extremity Doppler Ultrasound): Η δοπλερογραφία χρησιμοποιεί τις ήχο κύματα για να εξετάσει τη ροή του αίματος μέσα στα αγγεία. Αυτή η εξέταση μπορεί να βοηθήσει στην αξιολόγηση της παροχής αίματος και στον εντοπισμό ενδεχόμενων αγγειακών παθήσεων.
Εικονολογική Εξέταση με Χρήση Ακτινοβολίας (Angiography): Η αγγειογραφία είναι μια εξέταση που προβάλλει τα αγγεία με χρήση ακτινοβολίας. Συνήθως, χρησιμοποιείται με ένα χρωματιστικό υγρό που παρέχει εικόνες υψηλής ανάλυσης του αγγειακού συστήματος.
Εικονολογική Εξέταση με Χρήση Υπερήχων (Ultrasound Imaging): Οι υπερήχοι μπορούν να χρησιμοποιηθούν για να παράγουν εικόνες των αγγείων και να αξιολογήσουν τη ροή του αίματος. Είναι μια μη επεμβατική μέθοδος και ευαίσθητη για τον εντοπισμό αγγειακών προβλημάτων.
Σφυγμοί (Pulse Examination): Η εξέταση των σφυγμών σε διάφορα σημεία των άνω άκρων είναι μια απλή, αλλά σημαντική, μέθοδος για τον έλεγχο της κυκλοφορίας του αίματος.
Αναλύσεις Αιμάτωματος (Blood Tests): Ορισμένες ασθένειες, όπως η αρτηρίτιδα, μπορεί να απαιτούν αιματολογικές εξετάσεις για τη διάγνωση.
Ανάλογα με τα συμπτώματα και τις ενδείξεις, ο ιατρός μπορεί να επιλέξει την κατάλληλη εξέταση για να αξιολογήσει την κατάσταση των αγγείων των άνω άκρων.

Διαγνωστικές εξετάσεις αγγείων κάτω άκρου

Οι διαγνωστικές εξετάσεις αγγείων κάτω άκρου είναι σημαντικές για την αξιολόγηση της κατάστασης και της λειτουργίας των αγγείων που εφοδιάζουν τα κάτω άκρα. Ορισμένες από τις συνηθισμένες διαγνωστικές εξετάσεις περιλαμβάνουν:

Δοπλερογραφία Κάτω Άκρου (Lower Extremity Doppler Ultrasound): Η δοπλερογραφία χρησιμοποιεί ήχο κύματα για να μετρήσει τη ροή του αίματος μέσα στα αγγεία. Χρησιμοποιείται για τον εντοπισμό αρτηριακών ή φλεβικών προβλημάτων.
Αγγειογραφία (Angiography): Η αγγειογραφία είναι μια εξέταση που χρησιμοποιεί ακτινοβολία για να δείξει την κατάσταση των αγγείων. Συνήθως, χρησιμοποιείται με ένα χρωματιστικό υγρό που προσφέρει λεπτομερείς εικόνες.
Εικονολογικές Εξετάσεις με Χρήση Υπερήχων (Ultrasound Imaging): Οι υπερήχοι χρησιμοποιούνται για να παράγουν εικόνες των αγγείων και να αξιολογήσουν τη ροή του αίματος.
Σφυγμοί (Pulse Examination): Η εξέταση των σφυγμών σε διάφορα σημεία των κάτω άκρων είναι απαραίτητη για τον έλεγχο της ανοχής του αίματος.
Πιεστηριογραφία (Ankle-Brachial Index - ABI): Αυτή η μέθοδος χρησιμοποιείται για τον υπολογισμό του αναλογικού δείκτη ανάμεσα στην αρτηριακή πίεση στον αστράγαλο και την αρτηριακή πίεση στον βραχιόνιο. Χρησιμοποιείται για την αξιολόγηση της στενότητας των αρτηριών.
Ο ιατρός μπορεί να επιλέξει την κατάλληλη εξέταση ανάλογα με τα συμπτώματα και τις ενδείξεις του ασθενούς.

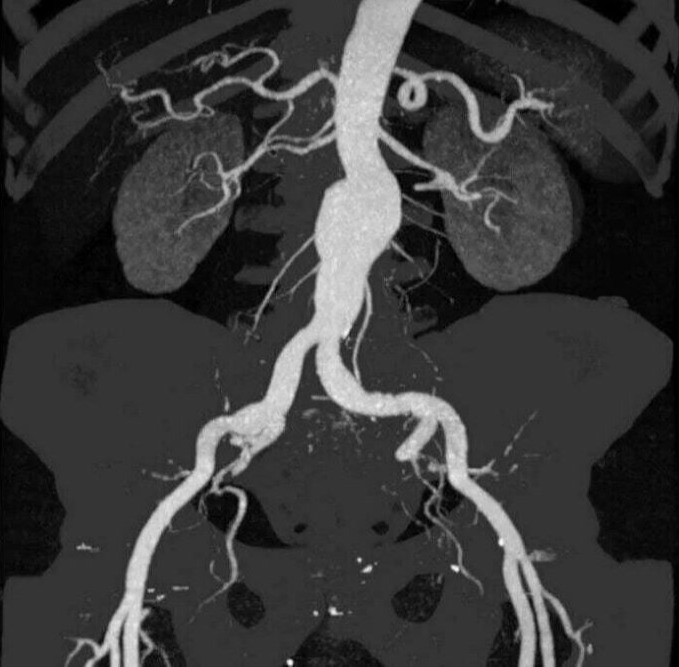
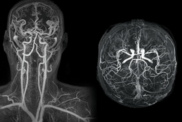
Αξονική Αγγειογραφία (CTA)

Η Αξονική Αγγειογραφία (CTA) είναι μια ιατρική εξέταση που χρησιμοποιεί τεχνολογία της υπολογιστικής τομογραφίας (CT) για να παράγει λεπτομερείς εικόνες των αγγείων. Η CTA είναι ένα αποτελεσματικό μέσο για την αξιολόγηση του αγγειακού συστήματος και χρησιμοποιείται συχνά για την εξέταση των αγγείων σε διάφορα μέρη του σώματος.

Η διαδικασία της CTA περιλαμβάνει τη χρήση ένος CT scanner και ενός υλικού αντίθεσης που εισέρχεται στον οργανισμό για να κάνει τα αγγεία πιο ορατά στις εικόνες. Ο ασθενής θα τοποθετηθεί στο κρεβάτι του scanner, και η συσκευή θα κινηθεί γύρω του για τη λήψη σειράς εικόνων.

Η CTA μπορεί να χρησιμοποιηθεί για την αξιολόγηση των αγγείων σε διάφορες περιοχές του σώματος, συμπεριλαμβανομένων:

Καρδιακών Αγγείων (Coronary Arteries): Χρησιμοποιείται για τον εντοπισμό πιθανών στενών ή πλακών στις αρτηρίες που εφοδιάζουν την καρδιά.
Κεφαλής και Τραχήλου (Head and Neck): Χρησιμοποιείται για την αξιολόγηση των αγγείων στο κεφάλι και τον λαιμό.
Κοιλιακού Χώρου (Abdomen): Χρησιμοποιείται για τον έλεγχο των αγγείων στην περιοχή της κοιλιάς, συμπεριλαμβανομένων της κοιλιακής αορτής και των αγγείων των οργάνων της κοιλιάς.
Άνω και Κάτω Άκρων: Χρησιμοποιείται για την αξιολόγηση των αγγείων στα άνω και κάτω άκρα.
Η CTA παρέχει λεπτομερείς εικόνες που μπορούν να βοηθήσουν τους ιατρούς να αξιολογήσουν την κατάσταση των αγγείων και να διαπιστώσουν πιθανά προβλήματα, όπως στένωση ή ανεύρυση των αγγείων.

Διαγνωστικές εξετάσεις αρτηριών

Οι διαγνωστικές εξετάσεις των αρτηριών περιλαμβάνουν διάφορες μεθόδους που χρησιμοποιούνται για να αξιολογήσουν την κατάσταση και τη λειτουργία των αρτηριών. Ορισμένες από τις κύριες διαγνωστικές εξετάσεις περιλαμβάνουν:

Αγγειογραφία (Angiography): Η αγγειογραφία χρησιμοποιεί ακτινοβολία για να δείξει την κατάσταση των αρτηριών. Συνήθως, χρησιμοποιεί ένα χρωματιστικό υγρό για να ενισχύσει την ορατότητα των αγγείων στις εικόνες.
Δοπλερογραφία (Doppler Ultrasound): Η δοπλερογραφία χρησιμοποιεί τον ήχο για να αξιολογήσει τη ροή του αίματος μέσα στις αρτηρίες και να εντοπίσει ενδεχόμενες στενώσεις ή προβλήματα με τη ροή.
Υπερήχοι Αρτηριών (Arterial Ultrasound): Είναι μια εξέταση που χρησιμοποιεί υπερήχους για την παραγωγή εικόνων των αρτηριών. Χρησιμοποιείται για τον έλεγχο του διαμετρήματος των αρτηριών, τον εντοπισμό αθηρωματικών πλακών και άλλων ανωμαλιών.
Πίεση Αρτηριών (Blood Pressure Measurement): Η μέτρηση της αρτηριακής πίεσης σε διάφορα μέρη του σώματος μπορεί να παρέχει πληροφορίες για την αρτηριακή λειτουργία και τυχόν προβλήματα.
Αναλύσεις Αιμάτωματος (Blood Tests): Οι αιματολογικές εξετάσεις μπορούν να παρέχουν πληροφορίες για τα επίπεδα χοληστερόλης και άλλων ουσιών που μπορεί να επηρεάσουν την υγεία των αρτηριών.
Αυτές οι εξετάσεις χρησιμοποιούνται συχνά για τον έλεγχο της αρτηριακής λειτουργίας, την ανίχνευση αρτηριακών παθήσεων και τον προσδιορισμό των αναγκαίων θεραπευτικών παρεμβάσεων.

Έγχρωμο Υπερηχογράφημα Αγγείων (Colored Ultrasound Duplex Scan)

Το Έγχρωμο Υπερηχογράφημα Αγγείων, επίσης γνωστό ως Colored Ultrasound Duplex Scan, είναι μια εξέταση που συνδυάζει δύο τεχνικές υπερήχων για τον έλεγχο των αγγείων: τη δοπλερογραφία και την αντιδραστική (duplex) υπερηχογραφία. Αυτή η εξέταση παρέχει λεπτομερείς εικόνες της ανατομίας των αγγείων και πληροφορίες σχετικά με τη ροή του αίματος μέσα σε αυτά.

Η δοπλερογραφία χρησιμοποιεί ήχο κύματα για να αξιολογήσει την ταχύτητα της ροής του αίματος σε ένα αγγείο. Αυτή η τεχνική είναι χρήσιμη για τον εντοπισμό στενώσεων ή αποφραγμάτων στις αρτηρίες και τις φλέβες. Τα χρώματα στην εικόνα αντιπροσωπεύουν την κατεύθυνση και την ταχύτητα της ροής.

Η αντιδραστική υπερηχογραφία (duplex ultrasound) παρέχει δομικές εικόνες των αγγείων, όπως οι εικόνες που λαμβάνονται με την κανονική υπερηχογραφία. Σε συνδυασμό με τη δοπλερογραφία, είναι δυνατό να διακριθούν οι αρτηρίες από τις φλέβες και να αξιολογηθεί η ροή του αίματος.

Αυτή η μέθοδος χρησιμοποιείται ευρέως για την αξιολόγηση της κατάστασης των αγγείων, συμπεριλαμβανομένων των αρτηριών και των φλεβών, και μπορεί να χρησιμοποιηθεί σε διάφορα μέρη του σώματος, όπως τα άνω και κάτω άκρα, ο λαιμός, ο κορμός, και άλλες περιοχές.

Διαγνωστικές εξετάσεις των καρωτίδων αρτηριών

Οι διαγνωστικές εξετάσεις των καρωτίδων αρτηριών είναι σημαντικές για την αξιολόγηση της κατάστασης αυτών των αρτηριών που βρίσκονται στον λαιμό και εφοδιάζουν τον εγκέφαλο με αίμα. Οι συνήθεις διαγνωστικές εξετάσεις περιλαμβάνουν:

Δοπλερογραφία των Καρωτίδων (Carotid Doppler Ultrasound): Αυτή η εξέταση χρησιμοποιεί υπερήχους για τον εντοπισμό της ροής του αίματος στις καρωτίδες αρτηρίες και για την αξιολόγηση τυχόν αθηροσκλήρωσης ή στενώσεων. Το έγχρωμο Doppler επιτρέπει την οπτικοποίηση της κατεύθυνσης και της ταχύτητας της ροής του αίματος.

Αγγειογραφία των Καρωτίδων (Carotid Angiography): Η αγγειογραφία χρησιμοποιείται για τον εντοπισμό και την αξιολόγηση τυχόν αρτηριακών στενώσεων ή ανευρύσματος στις καρωτίδες αρτηρίες. Συνήθως, ενέχει τη χρήση ενός χρωματιστικού υγρού που επιτρέπει την ορατότητα των αγγείων στις ακτινογραφίες.

Μαγνητική Αξονική Τομογραφία (Magnetic Resonance Angiography - MRA): Η MRA χρησιμοποιείται για τη δημιουργία εικόνων των αγγείων χωρίς τη χρήση ακτινοβολίας. Είναι χρήσιμη για τον εντοπισμό στενώσεων, αθηροσκλήρωσης ή ανευρυσμάτων.

Εξέταση του Σφυγμού των Καρωτίδων (Carotid Pulse Examination): Ο ιατρός μπορεί να ελέγξει τον σφυγμό στις καρωτίδες για να αξιολογήσει τη ροή του αίματος.

Οι παραπάνω τεχνικές συνήθως χρησιμοποιούνται για την αξιολόγηση της υγείας των καρωτίδων αρτηριών και την πρόληψη του εγκεφαλικού επεισοδίου.

Διαγνωστικές εξετάσεις κοιλιακής αορτής και σπλαχνικών αρτηριών

Οι διαγνωστικές εξετάσεις για την αξιολόγηση της κοιλιακής αορτής και των σπλαχνικών αρτηριών μπορεί να περιλαμβάνουν τις εξής μεθόδους:

Αγγειογραφία της Κοιλιακής Αορτής και των Σπλαχνικών Αρτηριών (Celiac Artery Angiography): Αυτή η εξέταση χρησιμοποιείται για να αξιολογήσει την κατάσταση της κοιλιακής αορτής και των αρτηριών που εξυπηρετούν τα σπλάχνα. Συνήθως, περιλαμβάνει τη χρήση χρωματιστικού υγρού για εμφανή οπτικοποίηση των αγγείων στις ακτινογραφίες.
Σπιράλ Υπολογιστική Τομογραφία (CT Angiography - CTA): Η CTA είναι μια μέθοδος εικονογράφησης που χρησιμοποιεί την τεχνολογία της υπολογιστικής τομογραφίας για τη δημιουργία λεπτομερών εικόνων των αγγείων. Συνήθως, περιλαμβάνει και τη χρήση χρωματιστικού υγρού για καλύτερη οπτικοποίηση των αγγείων.
Μαγνητική Αξονική Τομογραφία (Magnetic Resonance Angiography - MRA): Η MRA είναι μια μέθοδος που χρησιμοποιεί το μαγνητικό πεδίο για τη δημιουργία εικόνων των αγγείων. Συνήθως, δεν απαιτεί τη χρήση χρωματιστικού υγρού.
Δοπλερογραφία των Σπλαχνικών Αρτηριών (Doppler Ultrasound of Splanchnic Arteries): Η δοπλερογραφία χρησιμοποιείται για τον έλεγχο της ροής του αίματος στις σπλαχνικές αρτηρίες και την ανίχνευση πιθανών προβλημάτων, όπως στενώσεις ή ανευρύσματα.
Ο ιατρός θα επιλέξει την κατάλληλη μέθοδο ανάλογα με τα συμπτώματα, την ιατρική ιστορία και τις ανάγκες του ασθενούς.

Μαγνητική Αγγειογραφία (MRA)

Η Μαγνητική Αγγειογραφία (MRA) είναι μια μη επεμβατική εξέταση που χρησιμοποιεί τη μαγνητική τεχνολογία και τους υπολογιστές για να δημιουργήσει λεπτομερείς εικόνες των αγγείων στο εσωτερικό του σώματος, συμπεριλαμβανομένων των αρτηριών και των φλεβών. Η MRA χρησιμοποιεί το μαγνητικό πεδίο και ραδιοκύματα για τη δημιουργία λεπτομερών εικόνων των αγγείων, χωρίς τη χρήση ακτινοβολίας.

Υπάρχουν διάφοροι τύποι MRA, και ορισμένοι από τους συνηθέστερα χρησιμοποιούμενους περιλαμβάνουν:

Time-of-Flight MRA (TOF-MRA): Αυτή η μέθοδος εκμεταλλεύεται τη διαφορά στη ροή του αίματος για να δημιουργήσει εικόνες των αγγείων. Είναι ευαίσθητη στη ροή του αίματος και συνήθως χρησιμοποιείται για την αξιολόγηση των αρτηριών.

Contrast-Enhanced MRA (CE-MRA): Σε αυτήν τη μέθοδο, ενέσεις με χρωστικές ουσίες που είναι ορατές στις εικόνες μαγνητικής αγγειογραφίας εισέρχονται στην κυκλοφορία του αίματος για να προσδώσουν αντίθεση στις εικόνες. Αυτή η μέθοδος παρέχει πιο λεπτομερείς εικόνες των αγγείων και είναι ευαίσθητη στη ροή του αίματος.

Η MRA χρησιμοποιείται συχνά για την αξιολόγηση των αγγείων σε διάφορα μέρη του σώματος, συμπεριλαμβανομένων των καρωτίδων, της κοιλιακής αορτής, των εγκεφαλικών αγγείων και άλλων περιοχών. Είναι χρήσιμη για την ανίχνευση στενώσεων, ανευρυσμάτων, ή άλλων ανωμαλιών στο σύστημα κυκλοφορίας του αίματος.

Διαγνωστικές εξετάσεις των φλεβών

Οι διαγνωστικές εξετάσεις των φλεβών συνήθως περιλαμβάνουν διάφορες μεθόδους για την αξιολόγηση της κατάστασης των φλεβών και της κυκλοφορίας του αίματος. Ορισμένες συνήθεις διαγνωστικές εξετάσεις φλεβών περιλαμβάνουν:

Δοπλερογραφία/Έγχρωμο Doppler Υπερηχογράφημα (Doppler Ultrasound): Αυτή η μέθοδος χρησιμοποιεί τους υπέρηχους για να αξιολογήσει τη ροή του αίματος στις φλέβες. Είναι συνηθισμένο να χρησιμοποιείται για τη διάγνωση κιρσών, φλεβίτιδας, φλεβεκτασιών, και άλλων φλεβικών παθήσεων.
Φλεβογραφία: Η φλεβογραφία περιλαμβάνει τη χρήση ενός χρωματιστικού υγρού που είναι ορατό στις ακτινογραφίες. Χρησιμοποιείται για την εικονογράφηση των φλεβών και τη διάγνωση φλεβικών παθήσεων, όπως φλεβεκτασίες και φλεβίτιδα.
Μαγνητική Αγγειογραφία (Magnetic Resonance Angiography - MRA): Η MRA χρησιμοποιεί τη μαγνητική τεχνολογία για να δημιουργήσει λεπτομερείς εικόνες των αγγείων, συμπεριλαμβανομένων των φλεβών. Δεν απαιτεί χρήση ακτινοβολίας.
Σπιράλ Υπολογιστική Τομογραφία (CT Venography): Η CT venography χρησιμοποιεί την τεχνολογία της υπολογιστικής τομογραφίας για να εικονογραφήσει τις φλέβες.
Οι επιλογές διαγνωστικών εξετάσεων εξαρτώνται από τα συμπτώματα του ασθενούς, την κλινική ιστορία και τις υποψίες για συγκεκριμένες φλεβικές παθήσεις.

Ψηφιακή Αφαιρετική Αγγειογραφία (DSA)

Η Ψηφιακή Αφαιρετική Αγγειογραφία (Digital Subtraction Angiography - DSA) είναι μια διαγνωστική τεχνική που χρησιμοποιείται για την εικονογράφηση των αγγείων με υψηλή ανάλυση. Είναι μια εξέταση που παρέχει λεπτομερείς εικόνες των αγγείων και χρησιμοποιείται για την αξιολόγηση της ροής του αίματος και των αγγειακών ανωμαλιών.

Η διαδικασία της DSA περιλαμβάνει τα εξής βήματα:

Εισαγωγή Υλικού Kontrast: Ένας λεπτός καθετήρας εισάγεται μέσα στο αγγείο που θα εξεταστεί. Στη συνέχεια, ενέσεις με χρωστικές ουσίες (kontrast) εισάγονται μέσω του καθετήρα. Αυτές οι ουσίες είναι ορατές στις ακτινογραφίες.
Λήψη Σειράς Εικόνων: Κατά τη διάρκεια της εισαγωγής των χρωστικών ουσιών, λαμβάνονται σειρές ραγδαίων ακτινογραφιών με το χρονικό υπολογισμό της αφαιρετικής διαδικασίας.
Αφαίρεση Βάσης (Subtraction): Οι εικόνες πριν την εισαγωγή του χρωστικού υλικού αφαιρούνται από τις εικόνες που λαμβάνονται μετά την εισαγωγή. Αυτή η διαδικασία αφαίρεσης της "βάσης" δημιουργεί εικόνες που επιδεικνύουν αποκλειστικά τον όγκο των αγγείων που γεμίζουν με τη χρωστική ουσία.
Η DSA είναι εξειδικευμένη και συνήθως χρησιμοποιείται για τη διάγνωση πολλών αγγειακών παθήσεων, όπως ανευρύσματα, στενώσεις, και εγκεφαλικά αγγειακά επεισόδια. Επιπλέον, μπορεί να χρησιμοποιηθεί και για θεραπευτικούς σκοπούς, όπως η ενδαγγειακή εισαγωγή χρωστικών υλικών ή η ενδαγγειακή θεραπεία ανευρυσμάτων.

Doppler Αγγείων – Σφυροβραχιόνιος Αρτηριακός Δείκτης Πίεσης (ABPI)

Ο Δείκτης Πίεσης του Σφυροβραχιόνιου (Ankle-Brachial Pressure Index - ABPI) είναι ένα κλινικό μέτρο που χρησιμοποιεί τη μέθοδο του Doppler για να αξιολογήσει τον αρτηριακό παλμό και την πίεση του αίματος στις κάτω άκρες συγκριτικά με την πίεση του αίματος στον μπράχιο. Ο ABPI είναι χρήσιμος για την αξιολόγηση της περιφερικής αρτηριακής ανεπάρκειας.

Η διαδικασία περιλαμβάνει τα εξής βήματα:

Μέτρηση Πίεσης Σφυροβραχιόνιου (Brachial Pressure Measurement): Αρχικά, μετράται η πίεση του αίματος στον μπράχιο χρησιμοποιώντας ένα σφυγμομανόμετρο.
Μέτρηση Πίεσης στον Πηγάδιο (Ankle Pressure Measurement): Στη συνέχεια, με χρήση ενός Doppler ultrasound, ο ακροατήρας τοποθετείται στο πηγάδι (συνήθως στον μηριαίο ή τον αχίλλειο τένοντα), και μετράται η πίεση του αίματος.
Υπολογισμός του ABPI: Ο ABPI υπολογίζεται διαιρώντας την πίεση στον πηγάδι με την πίεση στον μπράχιο. Η φυσιολογική τιμή του ABPI είναι περίπου 1.0, όμως, σε περιπτώσεις περιφερικής αρτηριακής νόσου, μπορεί να είναι χαμηλότερη.
Ο χαμηλός ABPI υποδεικνύει πιθανή περιφερική αρτηριακή νόσο, η οποία μπορεί να οφείλεται σε στενώσεις ή αποκλεισμούς στις αρτηρίες των κάτω άκρων. Αυτή η μέθοδος συχνά χρησιμοποιείται στην κλινική πράξη για την αξιολόγηση της αρτηριακής λειτουργίας και τη διάγνωση περιφερικής αρτηριακής νόσου.

Αγγειοπλαστική λαγονίων, μηριαίων και κνημιαίων αρτηριών

Η αγγειοπλαστική των λαγονίων, μηριαίων και κνημιαίων αρτηριών αναφέρεται στη χειρουργική επέμβαση που προορίζεται για την αντιμετώπιση αρτηριακών προβλημάτων σε αυτές τις περιοχές. Η διαδικασία συνήθως περιλαμβάνει τη χρήση αγγειοπλαστικών τεχνικών για τη διόρθωση στενώσεων ή αποκλεισμών στις αρτηρίες, με στόχο τη βελτίωση της κυκλοφορίας του αίματος.

Οι αρτηριακές στενώσεις (στένωση των αγγείων) μπορεί να προκαλούνται από την αθηροσκλήρωση, η οποία συχνά σχετίζεται με την απόθεση αθηροματικών πλακών στο εσωτερικό των αρτηριών. Η αγγειοπλαστική είναι μια τεχνική που χρησιμοποιείται για την επαναφορά της φυσιολογικής ροής του αίματος στις περιοχές που επηρεάζονται από αυτές τις στενώσεις.

Η διαδικασία της αγγειοπλαστικής συχνά περιλαμβάνει τη χρήση ενός καθετήρα, ο οποίος εισάγεται στην αρτηρία μέσω μιας μικρής τομής. Στη συνέχεια, ο γιατρός χρησιμοποιεί ειδικά εργαλεία για να επεκτείνει τη στενωτική περιοχή ή να αφαιρέσει το αθηροματικό υλικό. Σε ορισμένες περιπτώσεις, επίσης, μπορεί να χρησιμοποιηθούν στεντ για τη διατήρηση της ανοιχτής αρτηρίας.

Η αγγειοπλαστική μπορεί να βοηθήσει στην αντιμετώπιση προβλημάτων κυκλοφορίας του αίματος, ελαττώνοντας τον κίνδυνο επιπλοκών όπως οι καρδιακές προσβολές ή οι εγκεφαλικοί προσβολές. Είναι σημαντικό να σημειωθεί ότι η απόφαση για τη διεξαγωγή αγγειοπλαστικής λαμβάνεται με βάση την κλινική εικόνα του ασθενούς και τις ευκαιρίες για την εφαρμογή αυτής της μεθόδου.

Αγγεοπλαστική και στεντ καρωτίδας (carotid stenting)

Η αγγεοπλαστική και η τοποθέτηση στεντ στην καρωτίδα (carotid stenting) είναι επεμβάσεις που χρησιμοποιούνται για την αντιμετώπιση στενώσεων στις καρωτίδες αρτηρίες. Αυτές οι αρτηρίες, που βρίσκονται στον λαιμό, μεταφέρουν αίμα προς τον εγκέφαλο. Οι στενώσεις αυτές μπορεί να οφείλονται συνήθως σε αθηροσκλήρωση, η οποία είναι η απόθεση αθηρωματικών πλακών στις αρτηρίες.

Η διαδικασία της αγγεοπλαστικής και της τοποθέτησης στεντ στην καρωτίδα συνήθως περιλαμβάνει τα εξής βήματα:

Αγγειογραφία: Πριν από τη διεξαγωγή της επέμβασης, γίνεται αγγειογραφία για να αξιολογηθεί η έκταση και η θέση της στένωσης στην καρωτίδα.
Εισαγωγή Καθετήρα: Ένας λεπτός καθετήρας εισάγεται στο αίμα του ασθενούς, συνήθως μέσω του αγγείου του μπράχιου ή του μηρού.
Διεύρυνση της Στένωσης (Αγγειοπλαστική): Με τη χρήση ενός μπαλόνιου που είναι τοποθετημένο στην άκρη του καθετήρα, η στένωση διευρύνεται.
Τοποθέτηση Στεντ: Ένας στεντ μπορεί να τοποθετηθεί για να διατηρήσει την ευρεία διάμετρο του αγγείου και να εμποδίσει την επανεμφάνιση της στένωσης.
Η αγγεοπλαστική με στεντ στην καρωτίδα μπορεί να είναι εναλλακτική λύση στη χειρουργική εξαγωγή της αθηροματικής πλάκας (carotid endarterectomy) και συνήθως χρησιμοποιείται σε περιπτώσεις που ο ασθενής δεν είναι κατάλληλος για χειρουργική επέμβαση. Η επιλογή μεταξύ αυτών των δύο επεμβάσεων εξαρτάται από πολλούς παράγοντες, συμπεριλαμβανομένης της σοβαρότητας της στένωσης, της γενικής υγείας του ασθενούς και άλλων παραμέτρων.

Ενδαγγειακή Αντιμετώπιση Ανευρύσματος Κοιλιακής Αορτής

Η ενδαγγειακή αντιμετώπιση ενός ανευρύσματος στην κοιλιακή αορτή μπορεί να περιλαμβάνει διάφορες τεχνικές, ανάλογα με τα χαρακτηριστικά του ανευρύσματος και την κατάσταση του ασθενούς. Τα ανευρήματα της κοιλιακής αορτής μπορεί να είναι ενδοστεντικά (αντιμετωπίζονται με την εισαγωγή στεντ) ή εξωστεντικά (αντιμετωπίζονται με διάφορες χειρουργικές επεμβάσεις).

Ορισμένες από τις τεχνικές που χρησιμοποιούνται για την ενδαγγειακή αντιμετώπιση ανευρυσμάτων της κοιλιακής αορτής περιλαμβάνουν:

Ενδαγγειακή αντιμετώπιση με στεντ: Ο στεντ είναι ένας σωλήνας από μεταλλικό πλέγμα που τοποθετείται ενδαγγειακά για να διατηρήσει τον φυσιολογικό διάμετρο της αορτής και να εμποδίσει την περαιτέρω διαστολή του ανευρύσματος.

Ενδαγγειακή αντιμετώπιση με κεφαλή κορυφαίας αορτής (EVAR - Endovascular Aneurysm Repair): Αυτή η τεχνική εμπλέκει την τοποθέτηση ενός στεντ μέσω μιας μικρής τομής στο προσθιοκοιλιακό τοίχωμα για την επισκευή του ανευρύσματος.

Χειρουργική αντιμετώπιση: Σε ορισμένες περιπτώσεις, ειδικά όταν το ανευρύσμα είναι εξωστεντικό ή πολύ πολύπλοκο, μπορεί να απαιτηθεί χειρουργική επέμβαση για την αφαίρεση του ανευρύσματος και την ανακατασκευή της αορτής.

Η επιλογή της κατάλληλης μεθόδου εξαρτάται από πολλούς παράγοντες, συμπεριλαμβανομένων του μεγέθους και της θέσης του ανευρύσματος, της γενικής υγείας του ασθενούς και των συνολικών αντιστάσεων της αορτής. Η επιλογή καθορίζεται μετά από προσεκτική αξιολόγηση από ειδικούς αγγειοχειρουργούς και ενδοαγγειακούς ειδικούς.

Ενδαρτηρεκτομή καρωτίδας

Η ενδαρτηρεκτομή καρωτίδας (carotid endarterectomy) είναι μια χειρουργική επέμβαση που χρησιμοποιείται για την αφαίρεση των αθηροματικών πλακών από την καρωτίδα αρτηρία. Ο σκοπός της επέμβασης είναι να αποκαταστήσει τη φυσιολογική ροή του αίματος προς τον εγκέφαλο και να μειώσει τον κίνδυνο εγκεφαλικού επεισοδίου (εγκεφαλικό επεισόδιο) που μπορεί να προκαλείται από τη στένωση της καρωτίδας.

Η διαδικασία της ενδαρτηρεκτομής καρωτίδας περιλαμβάνει τα εξής βήματα:

Αναισθησία: Ο ασθενής υποβάλλεται σε γενική ή τοπική αναισθησία για να εξασφαλιστεί ότι θα είναι άνετος κατά τη διάρκεια της επέμβασης.
Προσπέλαση της Καρωτίδας: Ο χειρουργός προσπελαίνει την καρωτίδα αρτηρία μέσω μιας μικρής τομής στο λαιμό.
Ανοιγματική Διεγχειρητική Εκτίμηση: Εκτελείται μια ανοιγματική διεγχειρητική εκτίμηση της καρωτίδας για να εξεταστούν οι αθηροματικές πλάκες και να αποφασιστεί η ανάγκη για αφαίρεση.
Αφαίρεση των Αθηροματικών Πλακών: Οι αθηροματικές πλάκες αφαιρούνται από την εσωτερική επιφάνεια της αρτηρίας.
Κλείσιμο της Καρωτίδας: Η αρτηρία κλείνει με ειδικό υλικό ή εκτελείται αγκυλοειδής ραφή για να επισκευαστεί η τομή.
Η ενδαρτηρεκτομή καρωτίδας συνήθως εκτελείται σε ασθενείς που έχουν υψηλό κίνδυνο εγκεφαλικού επεισοδίου λόγω στένωσης στην καρωτίδα. Η ακριβής μέθοδος που επιλέγεται εξαρτάται από τα χαρακτηριστικά του ανευρύσματος και την κατάσταση του ασθενούς, και αυτό αποφασίζεται σε συνεννόηση με τον αγγειοχειρουργό.

Θεραπεία κιρσών με Laser

Η θεραπεία κιρσών με λέιζερ, γνωστή και ως ενδαγγειακή λέιζερ θεραπεία (Endovenous Laser Treatment ή EVLT), είναι μια διαδικασία που χρησιμοποιεί την ενέργεια ενός λέιζερ για τη θερμική απελευθέρωση των κιρσών. Η μέθοδος αυτή συχνά χρησιμοποιείται ως εναλλακτική λύση στις παραδοσιακές χειρουργικές επεμβάσεις, όπως η φλεβεκτομή.

Η διαδικασία περιλαμβάνει τα εξής βήματα:

Ενδαγγειακή Εισαγωγή Λέιζερ Ινών: Ένα λεπτό προστατευτικό καθετήρα εισάγεται ενδαγγειακά με τη βοήθεια ενός υπερήχου, μέσα στην κιρσώδη φλέβα.
Εφαρμογή Λέιζερ: Ο λέιζερ ενεργοποιείται καθώς η ίνα αρχίζει να αποσύρεται. Η θερμότητα που παράγεται από τον λέιζερ προκαλεί σύσφιξη των τοιχωμάτων της φλέβας, καθώς και το κλείσιμο της.
Αφαίρεση της Φλέβας: Κατόπιν, η φλέβα που έχει κλείσει αντιμετωπίζεται από τον οργανισμό όπως κάθε άλλος συνηθής ιστός και σταδιακά απορροφάται.
Η θεραπεία με λέιζερ είναι συνήθως λιγότερο επεμβατική από τις παραδοσιακές χειρουργικές μεθόδους και συνήθως δεν απαιτεί κοπές ή αναισθησία γενικής κλίμακας. Επιπλέον, η ανάκαμψη μετά τη θεραπεία με λέιζερ είναι συνήθως γρηγορότερη.

Ωστόσο, η κατάλληλη μέθοδος θεραπείας εξαρτάται από το μέγεθος και τη θέση των κιρσών, καθώς και από την κατάσταση της υγείας του ασθενούς. Συνιστάται πάντα η συζήτηση με ειδικό για την καλύτερη προσαρμογή της θεραπείας στην περίπτωση του ασθενούς.

Μικροσκληροθεραπεία

Η μικροσκληροθεραπεία είναι μια θεραπευτική διαδικασία που χρησιμοποιείται για τη θεραπεία κιρσών και άλλων αγγειακών διαταραχών. Στη μικροσκληροθεραπεία, ένα ειδικό υγρό (σκληρυντικό) εισάγεται στις κιρσώδεις φλέβες, προκαλώντας το κλείσιμο τους. Αυτό συνήθως οδηγεί στην εξαφάνιση των κιρσών καθώς ο οργανισμός τις απορροφά.

Τα βασικά βήματα της μικροσκληροθεραπείας περιλαμβάνουν τα εξής:

Εφαρμογή του Σκληρυντικού: Ένα υγρό σκληρυντικό εισάγεται σε μικρή ποσότητα απευθείας στην κιρσώδη φλέβα με χρήση μιας μικρής βελόνας.
Κλείσιμο των Κιρσών: Το σκληρυντικό προκαλεί ερεθισμό των τοιχωμάτων της φλέβας, προκαλώντας τη συσπάστησή της. Κατόπιν, η φλέβα κλείνει και σταδιακά απορροφάται από τον οργανισμό.
Συνέχιση της Αγωγής: Σε ορισμένες περιπτώσεις, μπορεί να απαιτηθεί περαιτέρω αγωγή με συμπιεστικές κάλτσες για να ενισχυθεί η επίτευξη των επιθυμητών αποτελεσμάτων.
Η μικροσκληροθεραπεία συνήθως εκτελείται στο γραφείο του γιατρού και δεν απαιτεί γενική αναισθησία. Είναι σημαντικό να σημειωθεί ότι αν και η μικροσκληροθεραπεία είναι αποτελεσματική για πολλούς ασθενείς, μπορεί να χρειαστούν πολλές συνεδρίες για την πλήρη αντιμετώπιση των κιρσών. Ο γιατρός θα καθορίσει τον ακριβή αριθμό των συνεδριών ανάλογα με την κατάσταση των κιρσών και την ανταπόκριση του ασθενούς στη θεραπεία.

Ώρες λειτουργίας
Δευτέρα – Παρασκευή: 9 – 18
Διεύθυνση
Κάπου 13, 6ος όροφος, Αθήνα

Εποικονωνία
Τηλ.: +30 2101122333